Rheumatoid arthritis adalah penyakit kronis, multi sistem, dan inflamasi pada autoimun yang menyerang persendian. Ini adalah kondisi yang sangat melumpuhkan juga menyakitkan yang dapat menyebabkan hilangnya mobilitas pada rasa nyeri dan kehancuran sendi. 
Rheumatoid arthritis sangatlah sistemik dan juga dapat mempengaruhi jaringan yang lain melalui tubuh, kulit,  pembuluh darah, jantung, paru-paru dan otot. 
Rheumatoid arthritis dapat menjangkiti siapapun yang berusia antara 20 hingga 40 tahun dan dapat terjadi kapan saja. 
Sejarah kesehatan keluarga juga berperan dalam munculnya resiko ini. Penyakit ini bahkan tiga kali lipat lebih sering terjadi pada wanita dibandingkan pria dan empat kali lipat sering terjadi pada perokok dibandingkan non-perokok.
Gejala rheumatoid arthritis berbeda dari jenis arthritis yang lain karena inflamasi dan pembengkakan pada sendi lunak (tulang rawan) terjadi pada waktu yang sama. Gejala ini dikenal sebagai polyarthritis. 
Sendi yang biasanya terpengaruh adalah sendi yang asimetris dan kemudian akan dilanjutkan ke bagian yang simetris sebagai tanda berlangsungnya gangguan penyakit ini. Kondisi ini tidak sama seperti arthritis lainnya (seperti osteoarthritis) karena rasa sakit akan terjadi ketika sendi yang terpengaruh digerakkan.
Ketika gangguan berlangsung, aktivitas inflamasi akan menyebabkan erosi dan kehancuran sendi yang akan mengganggu mereka di berbagai gerakan dan mengakibatkan beberapa kelainan bentuk. 
Jari-jari dan tulang-tulang akan menyimpang ke luar dan ke arah jari yang kecil dan membuat bentuk yang tidak wajar. 
Jenis kelainan bentuk pada penderita rheumatoid arthritis ini diantaranya adalah kelainan Boutonnière, kelainan bentuk leher angsa, dan kelainan "Z-thumb".
Karena rheumatoid arthritis adalah penyakit multisistem, maka penyakit dan kondisi lainnya bisa saja muncul sebagai akibat dari rheumatoid arthritis itu sendiri. 
Kebanyakan penderita rheumatoid arthritis juga akan mengalami anemia. Anemia diakibatkan oleh sel-sel darah merah yang tidak cukup atau kurangnya hemoglobin dan ini akan menyebabkan rendahnya kemampuan pengangkutan oksigen menuju ke jaringan tubuh. 
Penyakit ini kronis dan banyak dari penderitanya akan mengalami splenomegali atau pembengkakan limpa. 
Sindrom Felty dan sindrom Sjogren merupakan gangguan autoimun di mana sel-sel menyerang dan merusak kelenjar eksokrin dan menghasilkan salvia dan air mata. Dermological akan mempengaruhi nodul pada permukaan eksterior. Fibrosis setiap saat dapat terjadi di paru-paru sebagai akibat dari perlakuan yang berbeda.
Ada beberapa cara untuk mendiagnosis rheumatoid arthritis. 
Terjadinya kekakuan di pagi hari yang berlangsung selama lebih dari satu jam merupakan salah satu ciri rheumatoid arthritis seperti terjadinya pembengkakan pada 3 hingga 14 sendi atau pada suatu kelompok persendian. 
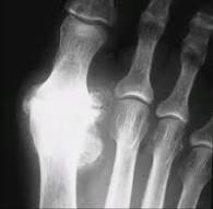
Arthritis pada persendian di tangan seperti arthritis simetris, nodul subkutan di tempat-tempat tertentu, faktor rheumatoid ada di tingkat ke-95 dan perubahan radiologis yang berasal dari erosi pada persendian merupakan bagian dari kriteria yang harus dipenuhi untuk membuat sebuah diagnosa.
Perawatan untuk rheumatoid arthritis akan ditempatkan di Disease Modifying Antirheumatic Drugs atau DMARDS, juga dengan agen anti inflamasi dan analgesik. 
DMARDS bekerja dengan mempertahankan kesehatan dan menunda proses penyakit, mencegah kerusakan tulang juga sendi. 
Sedangkan agen anti inflamasi dan analgesik dapat membantu mengatasi rasa sakit dan kekakuan.
Tetapi apapun itu jangan coba-coba untuk menekan rasa nyeri atau memperlambat penyakit dengan cara yang tidak dianjurkan.
Source:http://sehat-bugar-selalu.blogspot.com/2011/02/rheumatoid-arthritis.html
 
No comments:
Post a Comment